• Контакты
  • Режим работы
Версия для слабовидящихОбычная версия
Настройки отображения
Изображения
Размер шрифта
Интервал между буквами
СтандартныйСреднийБольшой
Цветовая схема
Черным по беломуБелым по черномуТемно-синим по голубомуКоричневым по бежевомуЗеленым по темно-коричневому
logo.png
Медицинский информационно-аналитический центр Калининградской области
+7 (4012) 64-01-92
236022, г. Калининград. ул. Мусоргского, 10а
  • О МИАЦ
  • ГИС
  • Вакансии МИАЦ
  • Оставить резюме
  • Статистика
  • Мониторинг
  • РЦК
  • IT-отдел
  • Защита информации
  • Материалы
  • Аттестация
    • О МИАЦ
      • Новости учреждения
      • Структура
      • Деятельность
      • Вакансии
      • Документы
      • Закупки
      • Карточка учреждения
      • Контакты
      • Реквизиты
      • Антикоррупционные мероприятия
      • Обратная связь для обращений о фактах коррупции
      • Источники комплектования
      • Целевое обучение
    • ГИС
        • Инструкции к МИС БАРС
          • Акушерство, гинекология и неонатология
          • РП. Прикрепление онлайн
          • Поликлиника
          • Работа с сервисами ФСС (ЭРС, ЭЛН)
          • Стационар
          • Формирование СЭМД
      • Инструкции по работе с медицинскими изделиями с технологией ИИ
        • Информационные системы ГИС
          • МИС «Барс»
          • ИСОМИ с ЦАМИ
          • ИССМП
          • ДЛО
          • Лабораторные системы
          • ЛЛО
        • Документы
            • Нормативно-правовые документы
              • Общие
              • МИС
              • ИССМП
              • ЛИС
              • ДЛО
              • ИСОМИ с ЦАМИ
          • Инструкции
          • Присоединение к ГИС
        • Статистика
          • Количество лицензий МИС по медицинским организациям
          • Статистика работы медицинских организаций в МИС
          • Показатели УПИТ
      • Дорожная карта
        • Техподдержка
          • Helpdesk
          • Контакты
  • Вакансии МИАЦ
  • Оставить резюме
    • Статистика
        • Документы
          • Приказы по годовому отчету
          • Кодирование причин смерти
          • Общие документы
        • Отчетность
            • Годовой отчет
              • Годовой отчёт 2024
              • Годовой отчёт 2023
              • Годовой отчет 2022
              • Годовой отчет 2021
              • Годовой отчет 2020
              • Годовой отчет 2019
              • Годовой отчет 2018
              • Годовой отчёт 2017
              • Годовой отчёт 2016
            • Мониторинги
              • Нормативные документы
              • Календарь сдачи отчетности
          • Личный кабинет
          • БАРС WEB-Своды
        • Сборники
          • 2024
          • 2023
          • 2022
          • 2021
          • 2020
          • 2019
          • 2018
            • 2017
              • Сборники МИАЦ
              • Сборники РФ
          • 2016
          • Архив
          • 2015
        • Демография
            • Население
              • 2024
              • 2023
              • 2022
              • 2021
            • Оперативные аналитические материалы
              • Текущая информация
              • Архив
    • Мониторинг
      • Экспорт медицинских услуг
    • РЦК
        • О РЦК в здравоохранении
          • Цели и задачи
          • Схема взаимодействия
      • Лучшие практики
        • Материалы
          • Федеральные документы
          • Региональные документы
          • Методические материалы
            • Инструменты и шаблоны
              • Шаблоны сбора данных
              • Шаблоны для анализа
          • Полезные ссылки
        • Отчетность
          • Бережливая поликлиника
          • Критерии базового уровня Новой модели МО
      • Контакты
    • IT-отдел
        • Инструкции к информационным системам
          • ДЛО (Асулон)
          • Телемедицина
          • МБУ
          • Горячая линия
          • Онко-консилиум
          • Онко-регистр
      • Шаблоны заявок
      • Инвентаризация
      • Сайты
      • Статистика по горячим линиям
        • Единый центр обслуживания
          • Общая информация
          • Нормативно-правовые документы
          • Инструкции
        • Маркировка лекарственных средств
          • Общая информация
          • Нормативно-правовые документы
          • Подключение
          • Центр компетенций
          • Инструкции
      • Бережливая поликлиника
        • отчеты
          • Роспотребнадзор
          • Количество пациентов поступивших в круглосуточные стационары КО
          • Количество обратившихся в МО оказывающие ПМСП
          • Отчет количество коек
          • Госпитализированные в МО
      • Отчет роспотребнадзор
      • Контакты отдела
    • Защита информации
      • Документы
      • Шаблоны
      • КИИ
      • Защита персональных данных
      • Контакты отдела
      • Лицензии
    • Материалы
        • ЕГИСЗ
          • Реестр медицинских освидетельствований (РМО)
          • Федеральный регистр медицинских организаций (ФРМО)
          • Федеральный регистр медицинских работников (ФРМР)
          • Интернет и АРМ
          • Федеральный реестр электронных медицинских документов (РЭМД)
        • ГИС
            • Инструкции к МИС БАРС
              • Акушерство, гинекология и неонатология
              • РП. Прикрепление онлайн
              • Поликлиника
              • Работа с сервисами ФСС (ЭРС, ЭЛН)
              • Стационар
              • Формирование СЭМД
          • Инструкции по работе с медицинскими изделиями с технологией ИИ
            • Информационные системы ГИС
              • МИС «Барс»
              • ИСОМИ с ЦАМИ
              • ИССМП
              • ДЛО
              • Лабораторные системы
              • ЛЛО
            • Документы
              • Нормативно-правовые документы
              • Инструкции
              • Присоединение к ГИС
            • Статистика
              • Количество лицензий МИС по медицинским организациям
              • Статистика работы медицинских организаций в МИС
              • Показатели УПИТ
          • Дорожная карта
            • Техподдержка
              • Helpdesk
              • Контакты
        • Инструкции к ИС
          • ДЛО (Асулон)
          • Телемедицина
          • МБУ
          • Горячая линия
          • Онко-консилиум
          • Онко-регистр
        • Материалы РЦ ПМСП
          • Федеральные документы
          • Региональные документы
          • Методические материалы
            • Инструменты и шаблоны
              • Шаблоны сбора данных
              • Шаблоны для анализа
          • Полезные ссылки
        • Информационная безопасность
          • Документы
          • Шаблоны
          • КИИ
          • Защита персональных данных
          • Контакты отдела
          • Лицензии
  • Аттестация
ГлавнаяГИСИнформационные системы ГИСИСОМИ с ЦАМИ
  • Навигация по сайту
  • О МИАЦ
    О МИАЦ
    Новости учреждения
    Структура
    Деятельность
    Вакансии
    Документы
    Закупки
    Карточка учреждения
    Контакты
    Реквизиты
    Антикоррупционные мероприятия
    Обратная связь для обращений о фактах коррупции
    Источники комплектования
    Целевое обучение
  • ГИС
    ГИС
    Инструкции к МИС БАРС
    • Акушерство, гинекология и неонатология
    • РП. Прикрепление онлайн
    • Поликлиника
    • Работа с сервисами ФСС (ЭРС, ЭЛН)
    • Стационар
    • Формирование СЭМД
    Инструкции по работе с медицинскими изделиями с технологией ИИ
    Информационные системы ГИС
    • МИС «Барс»
    • ИСОМИ с ЦАМИ
    • ИССМП
    • ДЛО
    • Лабораторные системы
    • ЛЛО
    Документы
    • Нормативно-правовые документы
      • Общие
      • МИС
      • ИССМП
      • ЛИС
      • ДЛО
      • ИСОМИ с ЦАМИ
    • Инструкции
    • Присоединение к ГИС
    Статистика
    • Количество лицензий МИС по медицинским организациям
    • Статистика работы медицинских организаций в МИС
    • Показатели УПИТ
    Дорожная карта
    Техподдержка
    • Helpdesk
    • Контакты
  • Вакансии МИАЦ
  • Оставить резюме
  • Статистика
    Статистика
    Документы
    • Приказы по годовому отчету
    • Кодирование причин смерти
    • Общие документы
    Отчетность
    • Годовой отчет
      • Годовой отчёт 2024
      • Годовой отчёт 2023
      • Годовой отчет 2022
      • Годовой отчет 2021
      • Годовой отчет 2020
      • Годовой отчет 2019
      • Годовой отчет 2018
      • Годовой отчёт 2017
      • Годовой отчёт 2016
    • Мониторинги
      • Нормативные документы
      • Календарь сдачи отчетности
    • Личный кабинет
    • БАРС WEB-Своды
    Сборники
    • 2024
    • 2023
    • 2022
    • 2021
    • 2020
    • 2019
    • 2018
    • 2017
      • Сборники МИАЦ
      • Сборники РФ
    • 2016
    • Архив
    • 2015
    Демография
    • Население
      • 2024
      • 2023
      • 2022
      • 2021
    • Оперативные аналитические материалы
      • Текущая информация
      • Архив
  • Мониторинг
    Мониторинг
    Экспорт медицинских услуг
  • РЦК
    РЦК
    О РЦК в здравоохранении
    • Цели и задачи
    • Схема взаимодействия
    Лучшие практики
    Материалы
    • Федеральные документы
    • Региональные документы
    • Методические материалы
    • Инструменты и шаблоны
      • Шаблоны сбора данных
      • Шаблоны для анализа
    • Полезные ссылки
    Отчетность
    • Бережливая поликлиника
    • Критерии базового уровня Новой модели МО
    Контакты
  • IT-отдел
    IT-отдел
    Инструкции к информационным системам
    • ДЛО (Асулон)
    • Телемедицина
    • МБУ
    • Горячая линия
    • Онко-консилиум
    • Онко-регистр
    Шаблоны заявок
    Инвентаризация
    Сайты
    Статистика по горячим линиям
    Единый центр обслуживания
    • Общая информация
    • Нормативно-правовые документы
    • Инструкции
    Маркировка лекарственных средств
    • Общая информация
    • Нормативно-правовые документы
    • Подключение
    • Центр компетенций
    • Инструкции
    Бережливая поликлиника
    отчеты
    • Роспотребнадзор
    • Количество пациентов поступивших в круглосуточные стационары КО
    • Количество обратившихся в МО оказывающие ПМСП
    • Отчет количество коек
    • Госпитализированные в МО
    Отчет роспотребнадзор
    Контакты отдела
  • Защита информации
    Защита информации
    Документы
    Шаблоны
    КИИ
    Защита персональных данных
    Контакты отдела
    Лицензии
  • Материалы
    Материалы
    ЕГИСЗ
    • Реестр медицинских освидетельствований (РМО)
    • Федеральный регистр медицинских организаций (ФРМО)
    • Федеральный регистр медицинских работников (ФРМР)
    • Интернет и АРМ
    • Федеральный реестр электронных медицинских документов (РЭМД)
    ГИС
    • Инструкции к МИС БАРС
      • Акушерство, гинекология и неонатология
      • РП. Прикрепление онлайн
      • Поликлиника
      • Работа с сервисами ФСС (ЭРС, ЭЛН)
      • Стационар
      • Формирование СЭМД
    • Инструкции по работе с медицинскими изделиями с технологией ИИ
    • Информационные системы ГИС
      • МИС «Барс»
      • ИСОМИ с ЦАМИ
      • ИССМП
      • ДЛО
      • Лабораторные системы
      • ЛЛО
    • Документы
      • Нормативно-правовые документы
      • Инструкции
      • Присоединение к ГИС
    • Статистика
      • Количество лицензий МИС по медицинским организациям
      • Статистика работы медицинских организаций в МИС
      • Показатели УПИТ
    • Дорожная карта
    • Техподдержка
      • Helpdesk
      • Контакты
    Инструкции к ИС
    • ДЛО (Асулон)
    • Телемедицина
    • МБУ
    • Горячая линия
    • Онко-консилиум
    • Онко-регистр
    Материалы РЦ ПМСП
    • Федеральные документы
    • Региональные документы
    • Методические материалы
    • Инструменты и шаблоны
      • Шаблоны сбора данных
      • Шаблоны для анализа
    • Полезные ссылки
    Информационная безопасность
    • Документы
    • Шаблоны
    • КИИ
    • Защита персональных данных
    • Контакты отдела
    • Лицензии
  • Аттестация

Информационная система обмена медицинскими изображениями с центральным архивом медицинских изображений

 Для повышения качества и оперативности предоставления медицинских услуг путем автоматизации процессов в области лучевой диагностики, автоматизации функций хранения, передачи, обмена, интерпретации и консультирования медицинских изображений в рамках единого информационного пространства на территории Калининградской области был развернут Центральный архив медицинских изображений (ЦАМИ) и информационная система обработки медицинских изображений (ИСОМИ) на основе программного обеспечения Kometa 3Di PACS.

 Основные функциональные возможности ИСОМИ и ЦАМИ 

- автоматизация процессов проведения диагностических исследований с использованием цифрового оборудования лучевой диагностики, поддерживающего стандарт создания, хранения, передачи и визуализации медицинских изображений и документов обследованных пациентов DICOM; - ЦАМИ является долговременным хранилищем цифровых медицинских изображений, используется для сбора медицинских изображений и маршрутизации результатов исследований между медицинскими организациями для оперативного принятия решений по оказанию экстренной медицинской помощи или при выходе из строя оборудования в каком-либо из районов; 
- ЦАМИ/ИСОМИ интегрированы с медицинской информационной системой «БАРС.Здравоохранение» (МИС) и региональной электронной медицинской картой пациента (ЭМК).
- в тех случаях, когда это позволяет архитектура, списки приема на компьютерную или магнитно-резонансную томографию и рентгенологические исследования, формируемые врачами клинических специальностей медицинских организаций в МИС, автоматически загружаются в диагностическое оборудование; 
-         ИСОМИ поддерживает стандарт визуализации медицинских изображений и документов и предоставляет по протоколу HTML5 доступ к медицинским изображениям из ЭМК МИС, а также, используется для работы главных внештатных специалистов и экспертов министерства здравоохранения Калининградской области; 
   
ИСОМИ и ЦАМИ обеспечивают:

-         эффективность управленческих решений (сокращение времени принятия решений, достоверность и срок получения информации);
- управление жизненным циклом медицинских изображений, не привязанным к конкретным видам диагностического оборудования;
- хранение изображений в едином хранилище ЦАМИ, с возможностью доступа к нему из любой медицинской организации, подключенной к региональному сегменту ЕГИСЗ;
- оперативный обмен диагностическими изображениями между всеми участниками лечебно-диагностического процесса;
- контроль качества инструментальной диагностики на всех этапах лечебно-диагностического процесса;
- оперативное и плановое консультирование диагностически сложных случаев с использованием технологий телемедицины;
- формирование стандартов диагностики, переход на ресурсосберегающие малопленочные и беспленочные технологии работы.
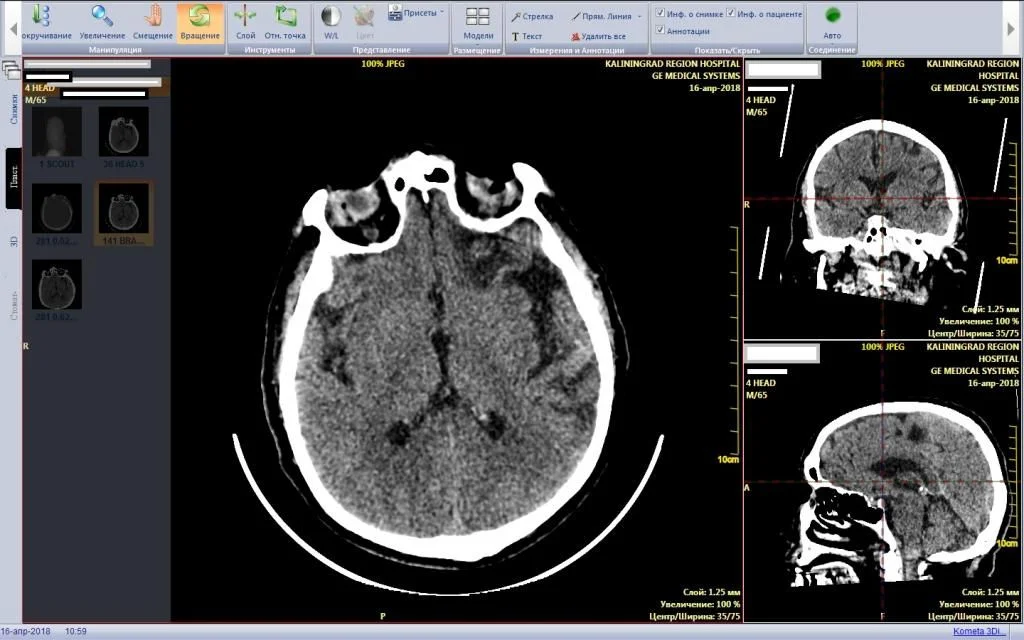
    Иллюстрации
 
Мультипланарная реконструкция КТ исследования
череп.jpg
Трехмерная тканевая реконструкция
череп2.jpg

Навигация по разделу
  • МИС «Барс»
  • ИСОМИ с ЦАМИ
  • ИССМП
  • ДЛО
  • Лабораторные системы
  • ЛЛО
Заявки для IT-отдела

Министерство здравоохранения Калининградской области

Записаться к врачу
НовостиВсе новости
  • 09.12.2025
    ГКУЗ Медицинский информационно-аналитический центр Калининградской области прошел партнерскую проверку на соответствие принципам бережливого производства.
  • 27.05.2025
    Платформа обратной связи
  • 23.05.2025
    Перечень региональных и муниципальных льгот и мер социальной поддержки
Независимая оценка качества
Министерство здравоохранения Калининградской области
Министерство здравоохранения РФ
Запись на прием к врачу в медицинские организации Калининградской области через портал Госуслуг
Фильм к юбилею "МИАЦ"
Антитеррористическая комиссия
Интернет-приемная
Справочник медицинских организаций
Календарь событий
Социологический опрос
Вызвать врача на дом (взрослое население)
Вышестоящие и контролирующие органы
Лекарственное обеспечение
Вакансии
bus.gov.ru независимая оценка качества условий оказания услуг (Оставить отзыв, результаты)
Оставить резюме
Противодействие коррупции
Памятка по мерам пожарной безопасности
Запись на прием к врачу в медицинские организации Калининградской области через портал Госуслуг
Профилактика вредных привычек
Профилактика коронавируса
Целевое обучение
Информация о диспансеризации
загрузка карты...
logo.png
Медицинский информационно-аналитический центр Калининградской области
  • Email: miac@infomed39.ru
  • Телефон: +7 (4012) 64-01-92
  • 236022, г. Калининград. ул. Мусоргского, 10а
  • Email администрации портала: site@infomed39.ru
  • Телефоны справочной службы
  • +7 (4012)64-01-92
  • Авторизация
    Авторизация
  • Информация
  • Контакты
  • Режим работы
Медицинский информационно-аналитический центр Калининградской области © 2026